
В сучасній культурі початкова думка про людину часто формулюється, виходячи з його зовнішнього вигляду. Стоматологи як ніхто інший розуміють, що в більшості клінічних випадків їх робота пов'язана саме з корекцією зовнішнього профілю обличчя через модифікацію параметрів посмішки.
Проведені раніше дослідження показують, що люди з більш привабливою зовнішністю оцінюються іншими співрозмовниками більш позитивно і позитивно, з чого можна зробити висновок, що посмішка - це важливий критерій зовнішності людини, а підбір ідеального відтінку зубів є ключовою складовою комплексної стоматологічної реабілітації пацієнта. У суспільстві, заснованому на красі і медицині, білі зуби є важливою вимогою стоматологічних пацієнтів.
Історично склалося так, що відбілювання зубів найбільш часто використовується в галузі косметичної стоматології. В середньому, 8 з 10 чоловік скаржаться на появу жовтизни на зубах, але тільки 25% пацієнтів використовували для виправлення даної проблеми спеціальні відбілюючі системи. При цьому якщо процес відбілювання здійснювався самими пацієнтами, 65% з них в подальшому не рекомендують використовувати подібні продукти, і тільки 2 з 10 пацієнтів з проблемами кольору зубів звернулися з цією проблемою до професійного лікаря-стоматолога. Існує глибокий розрив між об'єктивними потребами в відбілюванні зубів і можливістю використання для такої мети спеціальних медичних препаратів.
Іноді пацієнти утримуються від процедури відбілювання, оскільки не впевнені в ефективності процедури або ж переживають з приводу можливих ускладнень. У більшості стоматологічних клінік питання відбілювання не обговорюється з цільовими пацієнтами в повній мірі і на достатньому для розуміння рівні. За адекватним підходом лікар може вмотивувати пацієнта для досягнення необхідного відтінку зубів через процедуру відбілювання, і, таким чином, змінити тенденцію неконтрольованого домашнього відбілювання на контрольовану процедуру, виконувану під керівництвом лікаря-стоматолога. Крім того, таким чином збільшиться кількість пацієнтів, задоволених отриманим результатом втручання, додатково вдасться залучити більшу частину доходу в структуру стоматологічних клінік. Для формування консенсусного рішення щодо процедури відбілювання потрібно відповісти на ряд послідовних питань, наведених нижче по тексту.
Які варіанти відбілювання зубів доступні для пацієнтів?
Крім відомих безрецептурних препаратів, які пацієнт може придбати самостійно, відбілювання можна проводити з використанням спеціальних кап, виготовлених стоматологом індивідуально для кожного пацієнта. Такі капи заповнюються відбілюючим гелем в строго певному дозуванні (наприклад, KöR Whitening, Opalescence PF, Ultra-dent Products, Inc .; Philips Zoom DayWhite, Philips), і застосовуються пацієнтом вдома. Успіх цього методу відбілювання залежить виключно від дотримання пацієнтом всіх приписів лікаря. Іноді пацієнти скаржаться на невідповідність отриманого результату бажаного, але такий ефект може бути викликаний надмірно високим рівнем очікувань, оскільки пацієнти в переважній своїй більшості орієнтуються на стандарти телебачення або журналів. У таких випадках лікар може запропонувати пацієнту провести відбілювання більш потужним хімічним агентом, але вже строго в умовах клінічного прийому. Для такої мети раніше використовували 40% перекис водню, що вимагало забезпечення захисту м'яких тканин ясен і особи під час виконання процедури, але останні дослідження показали, що 25% розчин перекису характеризується аналогічною ефективністю, а для прискорення процесу додатково можна використовувати потужне джерело світла.
Як працює процес відбілювання?
Відбілювання зубів здійснюється в результаті дифузії перекису водню в структуру зуба. Дифузія збільшується зі збільшенням концентрації перекису водню, при більшому часу дії хімічного агента, додатковому використанні потужного джерела світла, тепла або лазерного випромінювання. Перекис водню дуже швидко руйнується на воді і радикали кисню, при цьому просочуючи емаль і дентин, забезпечуючи досягнення максимального ефекту відбілювання через 30 хвилин процедури. Через 90 хвилин реакція остаточно завершується, і пацієнт може бути вільний. В якості альтернативи можна використовувати 10% пероксид карбаміду, який продукує 3,6% перекис водню. Ця реакція триває протягом 4-6 годин, проте максимальний відбілюючий ефект спостерігається вже через 2 години. Перекис карбаміду використовується в ході процедур нічного відбілювання, оскільки даний аналог характеризується більш уповільненим ефектом. Крім того, вночі у людини сповільнюється слиновиділення, що зменшує ефект розведення відбілюючого розчину і сприяє збереженню його первинної концентрації. Збільшення концентрації перекису водню може не тільки прискорити процес відбілювання, але і збільшити потенційний ризик виникнення чутливості.
Отже, процедуру бажано починати з більш низьких концентрацій перекису водню (6% замість 14%) або пероксиду карбаміду (16% замість 22%), а використання кап обмежити певним періодом часу (20 хвилин замість 45 хвилин). При відбілюванні жовтих зубів можна домогтися більш прогнозованого результату, ніж при відбілюванні сірих. Крім того, дана процедура є більш ефективною, коли вона спрямована на корекцію світла монохроматичності однотонних зубів в порівнянні з тим результатом, якого можна досягти при відбілюванні смугастих, або точково пігментованих, плямистих зубів, або таких, дисколорація яких спровокована дією тетрацикліну.
Навіщо використовувати джерело світла?
Використання світлової системи активації підвищує ефективність і швидкість відбілювання. Хоча відбілювання на дому і може забезпечити відмінні результати, але часто характеризується недостатньою ефективністю. Використання системи світлової активації в стоматологічній клініці забезпечує такий же результат, як 14-денне відбілювання за допомогою кап в домашніх умовах. Такий підхід допомагає досягти бажаних пацієнтом результатів корекції посмішки, при цьому забезпечує повний контроль лікаря над процесом. Звичайні системи відбілювання дозволяють модифікувати відтінок зубів в діапазоні 6-9 відтінків, при цьому системи, активовані світлом, дозволяють поліпшити білизну зубів ще на додаткові один-два відтінки. Найкращі результати вдається отримати при використанні 25% перекису водню, оскільки даний хімічний агент характеризується найкращою кінематикою поглинання. Лампа Zoom WhiteSpeed (Philips) виробляє дуже мало тепла через свого вузького спектра світіння, отже, з її використанням вдається більш ефективно зруйнувати вуглецеві зв'язки в структурі органічної матриці, а блакитне світло при цьому додатково ще і поглинається ділянками жовтих плям в структурі дентину.
Чи є відбілювання причиною короткострокового або довгострокового пошкодження структури зубів?
Під час або після проведення процедури відбілювання пацієнти можуть відчувати тимчасове підвищення чутливості. Ступінь такої може варіювати від легкої на дію низьких температур до важкої по типу прострілюючого болю відразу ж після лікування. Якщо до відбілювання у пацієнта вже спостерігалася температурна чутливість, то необхідно призначити йому режим підготовки до відбілювання протягом 2 тижнів, який включає використання зубної пасти без лаурилсульфату натрію по типу Sensodyne ProNamel 5000 (GlaxoSmithKline). При сильних формах чутливості необхідно також застосовувати десенсибілізуючий гель (Relief ACP Zoom від Phillips), який наносять в індивідуальну капу і використовують щодня протягом 1 години протягом тижня перед відбілюванням і протягом 1 години відразу ж після процедури. Ці гелі можуть також містити інші ремінералізуючі компоненти, які збільшують мікротвердість емалі. Чутливість під час процедури відбілювання, ймовірно, викликана проникненням перекису водню через емаль і дентин в структуру пульпи, в якій починає розвиватися оборотний пульпіт. Чутливість при цьому є транзиторним процесом, і для її купірування в ході початку процедури слід застосують анальгетик (наприклад, ібупрофен 600 мг).
Коли потрібно проводити відбілювання?
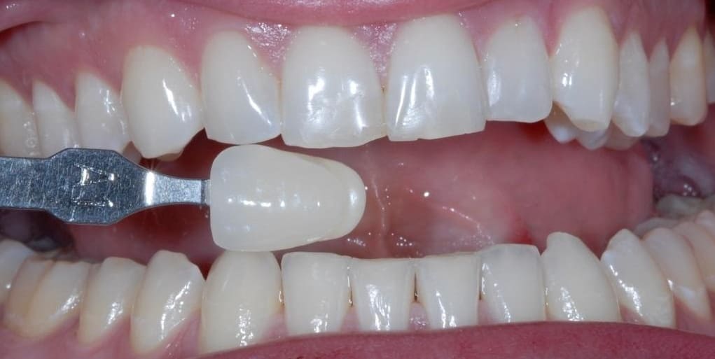
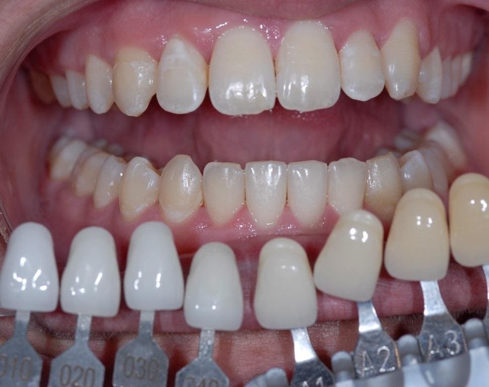
У кожного стоматологічного пацієнта необхідно проводити оцінку відтінку зубів. Дану процедуру можна виконати, використовуючи смартфон і шкалу Vita (VITA), розташовуючи еталонні зразки з проблемними зубами (фото 1). Після цього роблять повторну фотографію, але вже з одним еталонним відтінком, який був відібраний в результаті графічного аналізу попереднього знімка. Еталон розміщується з лівого боку фотографії (тобто з правого боку пацієнта) (фото 2).
|
Фото 1. Порівняння зубів з еталонними зразками |
Фото 2. Позиціонування забарвлень на фотографії |
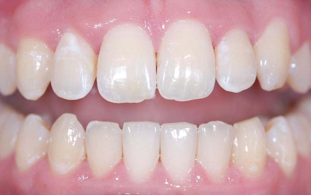
Після цього лікар і пацієнт аналізують фотографії на комп'ютері. Лікар повинен показати пацієнтові аналогічні випадки з такими ж проблемними відтінками, а після цього - продемонструвати результати, отримані в ході відбілювання (фото 3 - 5).
|
Фото 3. Розбір клінічної ситуації на основі наявних даних. |
Фото 4. Розбір клінічної ситуації на основі наявних даних. |

Фото 5. Розбір клінічної ситуації на основі наявних даних.

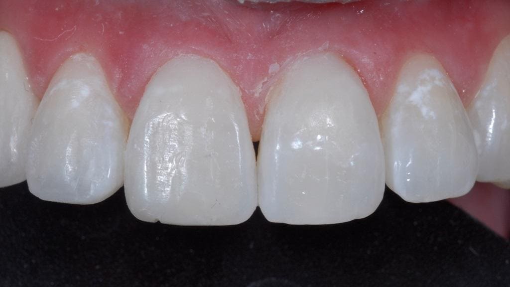
У ході дискусії також можна обговорити можливі варіанти відбілювання, враховуючи конкретні умови індивідуальної клінічної ситуації. При цьому слід враховувати аспекти способу життя пацієнта, його звички, естетичні очікування і фінансові можливості. Після завершення процедури відбілювання завжди потрібно проводити моніторинг за пацієнтом. Для порівняння результатів зіставляють фотографію, отриману після відбілювання і знімок до початку процедури - таким чином, вдається домогтися об'єктивізації показників успішності ятрогенного втручання (фото 6).
Фото 6. Порівняння знімків до і після відбілювання.
Під час обговорення результатів лікування з пацієнтом потрібно використовувати спеціальні прийоми, як, наприклад, діалог з іншим членом лікувальної команди в присутності пацієнта. Лікар може запитати: «Який був початковий відтінок зубів у пацієнта?», А потім «А який відтінок зубів зараз?», На що лікар-співрозмовник повинен відповісти «Доктор, зуби вдалося відбілити на цілих десять порядків еталонної системи порівняння». Загалом, сила лікування завжди складається з невеликої складової переконання. Пацієнт повинен сам переконатися, що зуби дійсно стали більш помітні і значно біліше. Лікар може вислати фото порівняння до і після лікування пацієнтові на електронну пошту, і він може показати їх друзям або навіть викласти в соціальних мережах. Фото окремих пацієнтів навіть можна використовувати за їх згодою в подальшій клінічній практиці з метою демонстрації.
Клінічний випадок

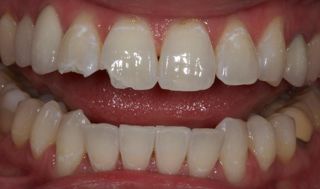
30-річна пацієнтка звернулася за стоматологічною допомогою з приводу проблеми з бічними і центральними різцями з правого боку, які були травмовані восени (фото 7). В ході рентгенологічного та клінічного дослідження було виявлено, що пульпа залишилася повністю вітальною. Пацієнтці було запропоновано замінити дефект за допомогою композитних реставрацій або ж керамічних конструкцій. Вона зупинилася на першому варіанті, бажаючи максимально зберегти резидуальні тканини зубів. Після аналізу ситуації і демонстрації аналогічних випадків пацієнтка погодилася на проведення процедури відбілювання для того, щоб максимально відкоригувати рівень своєї посмішки.
Фото 7. Вид на початковому рівні.
Клінічний протокол
25% -ний відбілюючий гель пероксиду водню (Philips Zoom WhiteSpeed) застосовували три рази в формі 15-хвилинних циклів, так щоб загальний час дії становило 45 хвилин. Пацієнтці також були надані капи для домашнього використання з десенсибілюзуючим гелем (Relief ACP Zoom), який містить ремінералізуючі речовини для збільшення мікротвердості емалі (фото 8). Остаточний кисень з хімічного відбілювача зменшує міцність зв'язку бондінгової системи, тому для забезпечення стабільності реставрації процедуру її формування слід відтермінувати мінімум на 7 днів після відбілювання (фото 9).
|
Фото 8. Процедура відбілювання зубів |
Фото 9. Процедуру реставрації відкладають на 7 днів. |
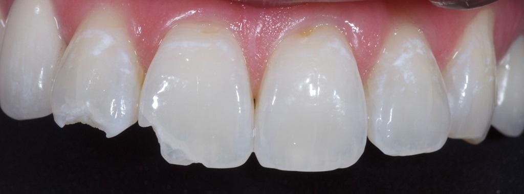
Через два тижні після проведення анестезії всі плями на зовнішній поверхні зуба були видалені за допомогою порошку і м'якої щітки. Вибір відтінку здійснювали шляхом порівняння заполімерізірованих невеликих порцій емалевого композиту (Filtek Supreme Ultra A1E і B1E, 3M ESPE, Premise B1E, Kerr Dental і IPS Empress Direct B1E, Ivoclar Vivadent), нанесених на оброблені зуби. Було встановлено, що Ivoclar IPS Empress Direct B1E найкращим чином відповідає навколишнього структурі зубів.
Щоб забезпечити невидимий перехід між зубом і реставрацією за допомогою алмазного бору формували фальц в структурі твердих тканин (Brasseler M862-009, Brasseler USA), заглиблюючись на 0,5 мм в дентин. Скіс формували на 2 мм відходячи від лінії травми зубів. Лінгвальну поверхню препарували під шампфер товщиною в 0,8 мм, щоб мати можливість заповнити дефект композитом для об'ємного внесення, який демонструє кращий показник опору при дії згинальних сил.
Після цього зуб протруювали (Microetcher II, Danville Materials) і промивали. Обробку проводили технікою тотального протравлювання 37% -розчину фосфорної кислоти, яку наносили за краї сформованого скоса твердих тканин за допомогою мікробрашу. Процес травлення займав 15 секунд. Протягом наступних 5 секунд зуб промивали, але так, щоб поверхня залишалася кілька вологою.
На оброблену поверхню наносили шар універсального адгезиву, що містить 10-метакрілоілоксідецілдігідрофосфат (MDP) (All-Bond Universal, Bisco), після чого надлишок розчинника випаровувався на повітрі протягом 10 секунд. Полімеризацію адгезиву також проводили протягом 10 секунд.
Після адгезивної обробки на піднебінну поверхню зубів наносили IPS Empress Direct BL-LE. Для відповідності відтінку зубів-антагоністів уздовж ріжучого краю наносили додатковий шар в 1 мм BL-XLD. Порція дентинового відтінку B1-D була скачана в кульку і розглажена по поверхні скоса. Для формування опуклості використовували другу порцію композиту, при цьому контролюючи оптимальну товщину ріжучого краю. Щоб відтворити ефект гало, опалесцентний композит Trans 30 був поміщений між колишніми порціями композиту (фото 10). Поверх вищезазначених шарів поміщали відтінок B1E в якості фінального лицьового шару, який полімеризували протягом 20 секунд.

Фото 10. Реставрація зуба з відтворенням ефекту гало.
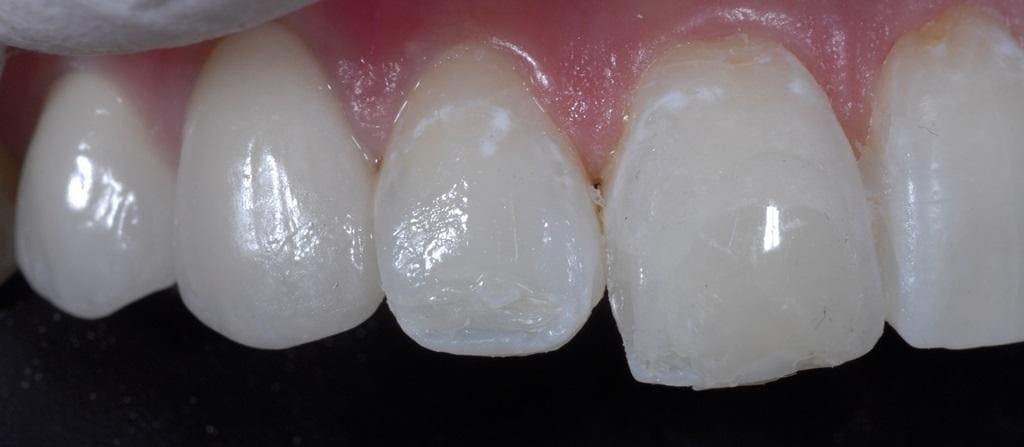
Контурування проводили з використанням полірувальних дисків (Sof-Lex, 3M ESPE). В ході корекції і контурування намагалися максимально повторити природну форму зубів. Для досягнення блиску реставрацій застосовували спіральні диски (3M ESPE), а потім войлочное колесо з поліруючої пастою (Enamelize, Cosmedent) (фото 11-13).

Фото 11. Остаточна обробка реставрацій.
|
Фото 12. Остаточна обробка реставрацій. |
Фото 13. Остаточна обробка реставрацій. |
Висновки
Завжди існує зв'язок між зовнішнім виглядом людини і його внутрішньою упевненістю в собі. Поліпшення профілю посмішки за рахунок відбілювання зубів може значно підвищити впевненість пацієнтом в собі в різних ситуаціях. Однак, між очікуваннями і можливостями відбілювання завжди існує певний розрив, який може бути також безпосередньо пов'язаний з вартістю процедури. Але всі наші пацієнти заслуговують індивідуального підходу до себе, тому робота з кожним з них повинна бути максимально адаптованою до наявних клінічних умов, не відступаючи при цьому від загальноприйнятої стратегії успіху стоматологічного лікування. Дотримуючись цих кроків, описаним в даній статті, ви зможете не тільки допомогти пацієнтам, але також підвищити прибуток власної клініки, правильно працюючи з концепцією корекції посмішки за допомогою відбілювання зубів.
Використані матеріали сайту Стоматологічного центру РЕФЕРТА
https://referta.com.ua/2021/06/04/otbelivanie-zubov-otvety-na-mnogie-vop...







